New Idle jets vs. old
- StanG
-
- Offline
- Banned
-
- Posts: 1987
- Thanks: 237
Re: New Idle jets vs. old
7 years 8 months ago
Great troubleshooting scotch! Makes me scratch my head again thinking how important such a small detail is!
And I see no pictures..... just the 'You do not have permissions to access this page' instead... I'm glad it's not just me!
And I see no pictures..... just the 'You do not have permissions to access this page' instead... I'm glad it's not just me!
Please Log in or Create an account to join the conversation.
- scotch
-
Topic Author
- Offline
- Sustaining Member
-
- Posts: 2004
- Thanks: 910
Re: Attachment test
7 years 8 months ago - 7 years 8 months ago
With new idle jets installed, the customers carbs that previously couldn't be tuned are now running my bike like a basket full of happy kittens. Vacuum bench-sync'd along with the usual pre-install adjustments I had merely to adjust the idle-speed and tweak the sync to get a slightly higher HG reading. he'll be very happy, I'm certain.
Put new idle jets in mine before re-installing them. No significant difference other then a slight adjustment to the idle-speed and dialed the idle needles back from 3.5 to 3 on all of them.
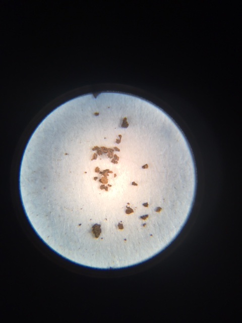
The pictures are of the 6 inlet and outlets of my 38 year old original idle-jets. 5 in remarkably good condition. One is badly decayed on both ends. The picture of "the bits and pieces" are what could be loosened with a strait-pin with no scraping from the "bad" jet. Note the last two ! From what I can ascertain from some "reading" :The white specs are due to Ethanol reacting with the brass. ALL jets had some of these white "crystals".
All but the last two - 40X magnification.
Last two - 100X
Put new idle jets in mine before re-installing them. No significant difference other then a slight adjustment to the idle-speed and dialed the idle needles back from 3.5 to 3 on all of them.
The pictures are of the 6 inlet and outlets of my 38 year old original idle-jets. 5 in remarkably good condition. One is badly decayed on both ends. The picture of "the bits and pieces" are what could be loosened with a strait-pin with no scraping from the "bad" jet. Note the last two ! From what I can ascertain from some "reading" :The white specs are due to Ethanol reacting with the brass. ALL jets had some of these white "crystals".
All but the last two - 40X magnification.
Last two - 100X
1980 KZ 1300 sr# KZT30A-009997
Always High - Know Fear !
Always High - Know Fear !
Last edit: 7 years 8 months ago by scotch.
Please Log in or Create an account to join the conversation.
- StanG
-
- Offline
- Banned
-
- Posts: 1987
- Thanks: 237
Re: New Idle jets vs. old
7 years 8 months ago
Looks I should say... 'good'???
Great investigative report! The lesson is??
Well, I will clean the shit out of any carbs I get my hands on, and replace these jets. No guessing game.
Great investigative report! The lesson is??
Well, I will clean the shit out of any carbs I get my hands on, and replace these jets. No guessing game.
Please Log in or Create an account to join the conversation.
- RChaloner
-
- Offline
- Elite Member
-
- Posts: 163
- Thanks: 36
Re: New Idle jets vs. old
7 years 8 months ago
Guys I'm curious (and apologies if I've missed this discussion elsewhere) but is the general opinion of the Z13 carbs that they are excessively sensitive to dirt?
What I mean is, although I understand and agree with all the concepts discussed of the particulates and many galleries and jets they can block, I'm also relating this to my 30 years of (in the older days) carb'd bikes and cars.
My old ('78 I think) Z1000a1 ran no additional fuel filter, open bellmouths with stoneguards (i.e. zero filtration!) and had no centre stand, yet suffered not 1 fuelling glitch.
In my youth all the filthy old cheap cars I ran sometimes had so much grime on their engines you couldn't see the fastener heads, yet in those years and 100k's miles I had only one fuel pipe leak and one carb body gasket leak.
So coming back to the Z13s' Mikunis, is it that they have an unusually large number of complex drillings and orifices, or that combined with the fact increasing numbers are spending more time idle as 'cherished' machines?
What I mean is, although I understand and agree with all the concepts discussed of the particulates and many galleries and jets they can block, I'm also relating this to my 30 years of (in the older days) carb'd bikes and cars.
My old ('78 I think) Z1000a1 ran no additional fuel filter, open bellmouths with stoneguards (i.e. zero filtration!) and had no centre stand, yet suffered not 1 fuelling glitch.
In my youth all the filthy old cheap cars I ran sometimes had so much grime on their engines you couldn't see the fastener heads, yet in those years and 100k's miles I had only one fuel pipe leak and one carb body gasket leak.
So coming back to the Z13s' Mikunis, is it that they have an unusually large number of complex drillings and orifices, or that combined with the fact increasing numbers are spending more time idle as 'cherished' machines?
1979 KZ1300 A1
1999 K1200LT - now sold, I like them however was nearly as big as my X5 but no faster.
1999 K1200LT - now sold, I like them however was nearly as big as my X5 but no faster.
Please Log in or Create an account to join the conversation.
- scotch
-
Topic Author
- Offline
- Sustaining Member
-
- Posts: 2004
- Thanks: 910
Re: New Idle jets vs. old
7 years 8 months ago - 7 years 8 months ago
A good question ! No single answer. I believe it's a combination of the "Fuel" we are now having to use AND.....these are older machines with unknown histories but think it's safe to say "Multiple Owners". Clearly, the fuel is leaving undesirable deposits. Consider however, multiple owners. Not understanding some of the "finer points" that we have now become aware of - such as NOT to Ram a 'tip-cleaner" through the idle-jets and not understanding how to set the carbs correctly. Although the manual gives the basics there is a little more to setting-up these carbs given there age and the inherent wear on the linkages. I've suggested previously that these carbs aren't complex regarding how they work - Carbs are carbs - but they do have a convoluted array of galleries to route the mixing-air and fuel to where it needs to get to. And recently discovered - a "hidden" metering jet that is inaccessible.
Internal cleanliness is at the fore-front of having the Mikunis operate correctly.
The more familiar one is with the workings, the easier it gets to diagnose the problems. (Most of the time) However. the sensitivity of the idle-jets to ANY damage and/or deposits enlightened me.......and I've been dealing with these carbs for myself and others for years.
You never stop learning !
Internal cleanliness is at the fore-front of having the Mikunis operate correctly.
The more familiar one is with the workings, the easier it gets to diagnose the problems. (Most of the time) However. the sensitivity of the idle-jets to ANY damage and/or deposits enlightened me.......and I've been dealing with these carbs for myself and others for years.
You never stop learning !
1980 KZ 1300 sr# KZT30A-009997
Always High - Know Fear !
Always High - Know Fear !
Last edit: 7 years 8 months ago by scotch.
The following user(s) said Thank You: RChaloner
Please Log in or Create an account to join the conversation.
- StanG
-
- Offline
- Banned
-
- Posts: 1987
- Thanks: 237
Please Log in or Create an account to join the conversation.
Moderators: scotch
Time to create page: 0.201 seconds
